
“Giran principalmente en torno a la estética, dolor, la edad, el costo y la duración del tratamiento”
MITO 1: LA ORTODONCIA ES SOLO PARA NIÑOS Y ADOLECENTES
VERDAD: Cualquier adulto puede iniciar un tratamiento de ortodoncia para mejorar su salud bucal y la estética de su sonrisa, siendo un tratamiento para “todas las edades”

MITO 2: LA ORTODONCIA ES PURAMENTE ESTETICA
VERDAD: Corregir la mala oclusión mejora la salud dental general al facilitar la limpieza, previniendo caries y enfermedades de las encías, además de facilitar la masticación y la digestión, siendo un tratamiento funcional y preventivo , no solo estético.

MITO 3: LOS TRATAMIENTOS DE ORTODONCIA SON MUY DOLOROSOS
VERDAD: Aunque puede haber molestias temporales al inicio o durante ajustes, los tratamientos actuales son cada vez menos dolorosos. El dolor no es un impedimento para iniciar un tratamiento. Si bien una vez colocados al inicio del tratamiento los pacientes relatan molestias que suelen aparecer como pequeñas llagas por el roce inicial sobre todo de los brackets metálicos en los tejidos blandos que desaparecen en unos días, pueden prevenirse con el uso adecuado de ceras especiales para ortodoncia como como un medio de alivio.
MITO 4: LA ORTODONCIA DE AUTOLIGADO ES MAS RAPIDA Y MENOS DOLOROSA
VERDAD: No existe evidencia científica sólida que demuestre una reducción significativa del tiempo total del tratamiento con auto ligado. Incluso la presión constante de los brackets auto ligados podría generar mayor molestia en algunos casos. Dependiendo en realidad el tiempo según la complejidad de cada caso clínico que presente el paciente.
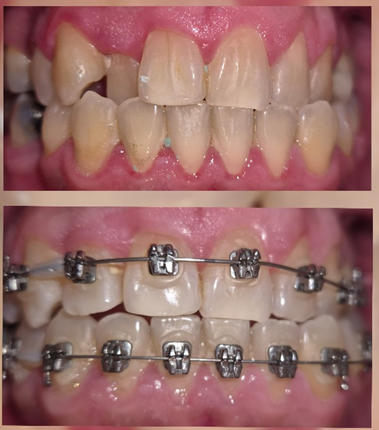
MITO 5: LA ORTODONCIA CONVENCIONAL REQUIERE MUCHO TIEMPO Y NO ES EFECTIVA
VERDAD: La eficacia depende más del ortodoncista y su plan de tratamiento que del tipo de brackets. Los brackets convencionales son igual de eficaces para alinear los diente y corregir la mordida.
MITO 6: LA ORTODONCIA ES EXCESIVAMENTE CARA
VERDAD: Si bien algunos tipos de ortodoncia (como los auto ligados) pueden tener un costo inicial mayor, el tratamiento es una inversión en salud. El precio no el único factor a considerar para elegir el método. Actualmente existen una gran diversidad de tipos de brackets y variabilidad de sus costos pudiendo estar al alcancé de todos los pacientes.
“LA CLAVE DEL ÉXITO RADICA EN LA HABILIDAD DEL ORTODONCISTA PARA DIAGNOSTICAR Y PLANIFICAR EL CORRECTO TRATAMIENTO”