
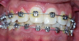
Los tratamientos de ortodoncia se extienden durante periodos de varios meses, inclusive años dependiendo de cada caso clínico. Por tal motivo durante este lapso de tiempo el paciente con brackets debe tener un extremo cuidado con su higiene bucodental.
Es importante saber cómo limpiar correctamente los brackets ya que estos favorecen la acumulación de placa bacteriana con mayor facilidad de adherencia y posibilidades de desarrollar caries y otras afecciones importantes entre ellas la gingivitis.


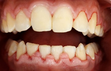
CASO CLÍNICO: Paciente con ortodoncia que al retirar los brackets presenta un caso de gingivitis.
Lo primero que se requiere es dedicación y esfuerzo por parte del paciente en el momento de realizar la higiene diaria. Tener en cuenta que al finalizar un tratamiento de ortodoncia no solo se espera conseguir el éxito del tratamiento con elementos dentarios alineados en correcta forma y función si no también dientes sanos libres de caries y limpios.
Lo más importante a la hora de cepillarse los dientes es ¿cómo lo hacemos? y no tanto el objeto con el que lo hacemos es de vital importancia poder reconocer esta diferencia.
¿COMO MANTENER UNA BUENA HIGIENE DENTAL EN ORTODONCIA?
A través del uso de los siguientes elemento de higiene
- Cepillo para ortodoncia: El cepillado después de cada comida es esencial tanto para los brackets de autoligado como los convencionales, usar cepillos específicos para brackets de cerdas suaves menos abrasivas que ayudan a limpiar eficazmente los brackets y arcos sin causar daño a las encías o al esmalte dental. Realizando movimientos circulares correctos alrededor de cada elemento dentario empleando una eficaz mecanismo de higiene dental.
- Cepillo interdental: son pequeños cepillos diseñados para limpiar los espacios interdentarios, coadyudantes del hilo dental .

- Cepillo eléctrico: elimina hasta un 100% la placa bacteriana, con un cabezal redondo que envuelve cada elemento dentario, esta especialmente indicado para personas mayores, personas discapacitadas y niños, también es ideal para las personas que tienen artritis u otros impedimentos físicos.

- USO DEL HILO DENTAL: usar hilo dental con brackets puede ser un reto pero no imposible, existen enhebradores de hijo dental diseñados específicamente para personas con ortodoncia.

- IRRIGADOR BUCAL: Es un instrumento de limpieza oral que emplea un sistema de agua a presión convirtiéndose en una excelente opción para eliminar restos de comida y placa bacteriana de manera rápida y eficaz en aquellos lugares en donde no puede acceder las cerdas del cepillo dental.


- Enjuague bucal.
- También tener en cuenta evitar ciertos alimentos, duros pegajosos o que requieran mucho esfuerzo para masticar como nueces, caramelos o chicles son los ´primeros enemigos de los brackets estos pueden hacer que los arcos se desplacen o que los brackets se despeguen provocando lesiones o molestias en el paciente.
También es importante destacar que una de las principales diferencias entre la ortodoncia de autoligado y convencional radica en que los brackets de autoligado permiten mejorar el cepillado por parte del paciente por su diseño , forma y su menor tamaño mejorando la higiene por parte del paciente , al ser un brackets sin gomas alrededor de el y ser mucho mas pequeños, además de generar menos dolor en el movimiento y por lo tanto mas confort en el paciente, sin dudas el sistema autoligado ofrece mas comodidad en el paciente.

ASESORAMIENTO:
María de los Ángeles Prieto MP: 3109 ODONTOLOGIA GENERAL- Ortodoncia Endodoncia- Prótesis- Cirugías- Estética. Lamadrid 479 consultorio 3 planta alta- Tel 3884427015